矯正は大人になってからでも遅くはない
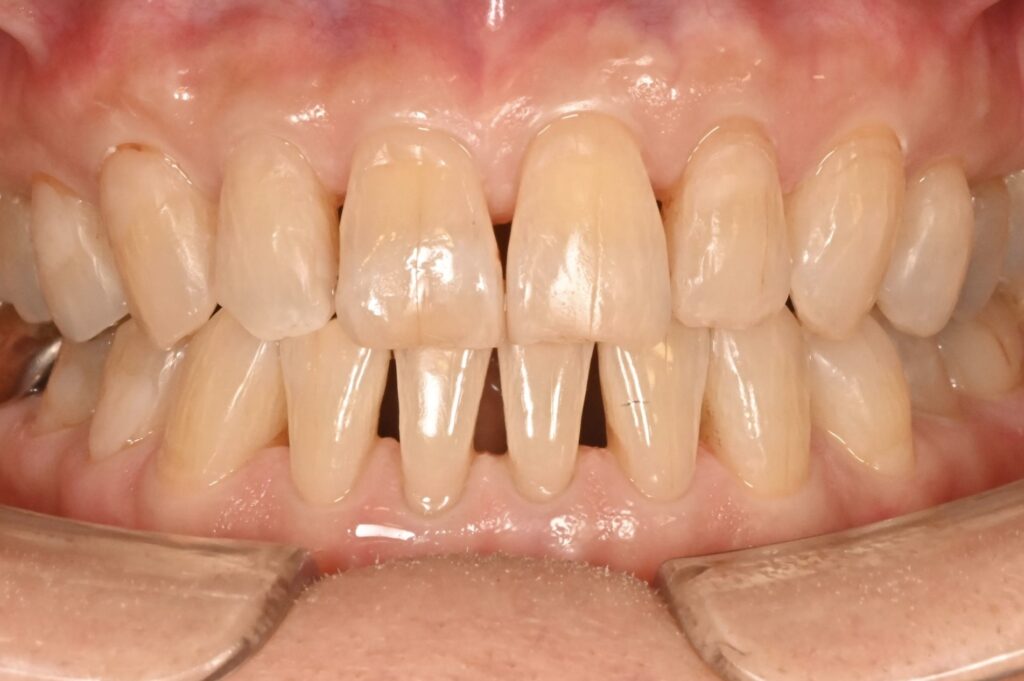
矯正相談で来院される方は以前に比べ大人の方も増えてきています。 矯正は子供の頃から始めるイメージが強いかもしれませんが、大人になってからも矯正は可能です。 矯正治療は 子供の頃(乳歯の段階)から始める矯正治療:1期治療 大人になってから(全て永久歯)から始める矯正治療:2期治療 に分かれます。 1期治療の特徴 歯並び、骨格がまだ完成していない段階からの治療のため、顎の骨の成長が良い方向に進むよう促し、できるだけ矯正のための抜歯が必要にならないようにするための治療です。 歯磨きが難しい年齢で、固定式の装置だと虫歯のリスクがより上がってしまうため、当院では基本的に取り外し可能な装置を使用します。 上下の前歯と6歳臼歯が生えてくる小学校低学年ごろからスタートすることが多いです。 全て永久歯に生え変わり成長がある程度落ち着いてくる、中学生ごろまでを1期治療にあてます。 治療期間が長くなり、装置の使用は自宅のため、ご家族の協力が必要になる部分がデメリットになります。 2期治療の特徴 いわゆる成人矯正にあたります。 骨格が完成しているため、顎の成長は見込めず、現状の骨格の中で歯を並べていく必要があります。 そのため、がたつきの多い歯並びであれば抜歯をしてスペースを作った上で歯を並べていく必要があります。 また、それでも不十分なケースであれば、矯正用のインプラントなど補助的な装置も必要になる場合があり、装置が取り外せないため、虫歯や歯周病のリスクが上がり定期的なクリーニングが必要になります。 しかし、1期治療に比べると治療期間が短くできるメリットがあります。 それぞれのメリット、デメリットがあるためケースに合わせてどちらが適切か判断し、相談の上、治療にあたっていきます。 今回のケース 矯正相談で来院された40代の女性の方です。 上下の前歯のがたつきが特に気になる、八重歯を治したいとのことでした。 口腔内をチェックした段階で、 歯を並べるためにはスペースが足りず、抜歯が必要になることが予想されました。 今回は2期治療、成人矯正治療にあたります。 抜歯に関しては抵抗がないとのこと。また、治療期間がかかること、保険外治療であることに同意を得たため、矯正検査を行いました。 検査の結果、上下4本の歯を抜歯すること、上の前歯を後ろに引く際の固定源として矯正用のインプラントを使用する必要がありました。 内容を説明し、同意を得て、治療に移行します。 矯正用インプラントを上顎に処置し、下に装置をつけるところから始まります。 装置装着後、歯の動く痛み、口内炎や話しずらさなどは出ますが、次第に慣れていく方がほとんどです。 月に1度、装置を交換、調節しながら矯正治療を進めて行きます。 矯正治療の後半、仕上げに近づいている段階です。 この後、まだ残っている歯を抜いたスペースを閉じていきます。 矯正治療が終わりました。 前歯のがたつきもなくなり、八重歯もきれいに解消されました。 噛み合わせも安定しています。 歯並びが良くなったことで、歯磨きもしやすくなり、今後の虫歯予防、歯周病予防にもつながります。 矯正治療には年齢やケースによって段階があります。 型にはまった治療方法ではなく、患者さんそれぞれに合わせたオーダーメイドの治療が必要になります。 今回はワイヤー矯正のケースでしたが、マウスピースでできるケースもあります。 また、抜歯をせずに治せる場合もあります。 その治療方法を決めるには正確な検査と診断が大切です。 アズ歯科桶川院では矯正専門医が3名治療にあたり、その他の歯科医師も矯正治療対応が可能です。 外科専門医と連携した難易度の高いケースも行っております。 お気軽にご相談ください。 治療期間 2年3ヶ月 治療費 ¥1,000,000 + tax 治療のリスク 矯正後に歯が後戻りする可能性がある
2024.09.03










