セラミック治療・ホワイトニング
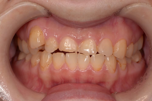
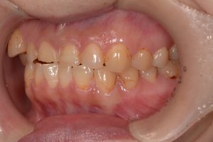
主訴:前歯の形、色が気になる
上の前歯が薄くなり、かけてしまい形が気になるとのことで来院されました。
また、歯の色も気になるとのことです。
初診時の写真です。



前歯の形態を変える方法として、
1、樹脂(プラスチック)を用いて簡易的に歯の形を変える
2、セラミックのベニヤ(付け爪のように表面を薄くけずりセラミックを接着する方法)で形を修復する
3、被せ物で歯の形を修復する
以上の3つが挙げられると思います。
1、2の場合、今回のケースではかけてしまう可能性も高く、審美的な改善も希望されたため、ホワイトニングを併用して3の治療方法ですすめることになりました。
まず、前歯4本を仮歯に置き換えます。

この状態で噛み合わせや清掃性、発音、見た目などに問題がないか経過観察を行います。
その期間にホワイトニングも並行して行います。
一定期間経過観察後、仮歯を外し、接着剤が漏れていないか、仮歯の中に汚れが溜まっていないかをチェックします。

接着剤がしっかり残っており内部も綺麗な状態であることがわかります。
ここから仮歯の最終調整を行います。

形態に問題がなく患者様にも気に入ってもらえたため、この形を参考にセラミックに変更していきます。
型取りを行い、セラミックを作製し装着します。
装着後の写真です。


ホワイトニングによりご自身の歯も白くきれいに仕上がりました。
患者様にとても満足していただけました。
定期的にクリーニングと色の後戻りを防ぐためのホワイトニングを行っていきました。
処置後1年の状態です。


特に大きな問題はなくきれいな状態を維持できていると思います。
治療が終わったらそれで終わりではなく、定期的にチェックし問題がでてくる前に対応していくことで、良い状態を長く維持できます。
症状や気になる部分がなくても定期検診の受診をおすすめします。
| 治療期間 | 5ヶ月 |
|---|---|
| 治療費 | 約500,000円 + 税 |
| 治療のリスク | 強い衝撃でかけてしまう可能性あり |











