神経がなくなると歯は割れやすくなる
前回の症例ブログの写真です。
虫歯が神経まで達してしまうと、歯の内部の神経をとる治療が必要になってしまいます。

↓

↓


元々痛みがあれば神経を取ることによって症状は緩和しますし、冷たいものでしみたりしなくなります。
しかし、神経を取ること(根管治療)でのデメリットが多くあります。
デメリット
①神経と一緒に血管も除去するため、歯の内部の象牙質への栄養供給が遮断され、歯の内部は固く乾燥した状態になり、もろくなってしまう。
②根管治療を行う為に、歯の内部を削ることも多く、むし歯などで歯そのものがあまり無い場合には、歯の機能回復のために土台となる部分を作る必要があり、最終的に削って歯を被せる治療が必要です。それにより、歯の内側だけでなく外側も被せるために削る必要が生じ、歯の大部分を削ることになってしまう。
③治療時間、期間、被せるための費用がかかる。
④歯の栄養が行き渡らない為、歯の変色を起こす。
⑤内部で再感染を起こし、痛み腫れが出てくる場合がある。
歯の構造はとても複雑な形状をしていて、一人一人の歯の形状が違っていますし、歯の神経の形状は網目のような形であることが多く、簡単に除去できるものではありません。
また、感染を防ぐために、緊密に神経の空間に薬を詰め込むことも難しいのです。

歯の内部の断面図
歯の神経の治療、根の治療は、高度な技術を必要とするとても難しい治療です。
そのためには虫歯が神経まで進行しないよう、定期的な歯科医院でのチェックをお勧めします。
上で記載した通り、神経を取ると歯はもろくなり、割れる可能性が上がります。
以下で症例を載せていきます。
(血などが苦手な方は見ないようにお願いします。)
↓
↓
↓
↓
↓
↓
↓
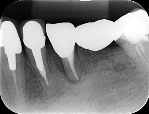
以前根管治療を受けた歯の周りの歯茎が腫れて来院された患者様です。
レントゲンで確認しました。
以前 今回


以前のレントゲンと比べ、今回のでは隣の歯との間が黒く見えます。
この部分の骨がなくなっている状態です。
その他の検査も行い、歯が割れていることが原因と説明し、残念ながら抜歯することになりました。
抜歯後の写真です。

拡大してみると

亀裂が入っているのが確認できると思います。
この部分から菌が侵入し、歯の周りの組織にダメージを与えた結果、骨が溶けてしまったと考えられます。
また、他の患者様での歯の破折による抜歯後の写真です。

割れているのが確認できます。
菌はとても小さく、少しでも亀裂などがあれば、そこから簡単に内部に侵入してしまいます。
定期的にチェックしても、歯が割れそうかどうかの診断はとても難しいです。
まずは神経の治療にならないように虫歯を作らないのが大切だと考えます。











