ホワイトニングからのCRで白い歯を手に入れる

①全体的に白くしたい
②前歯の古い詰め物を治したい
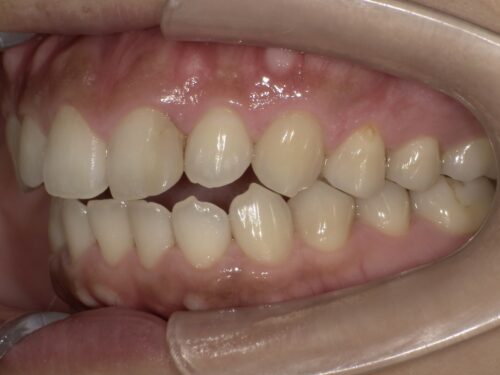
というお悩みで来院された患者さんです。
白くしたい場合、まず思い浮かぶのは、そう、
ホワイトニングですよね。

ただ、もう1箇所、この赤いマルで囲まれた部分をよーく見ていただくと、
ここに古い詰め物がついていて、変色しているのがわかります。
おそらく以前むし歯になって治療されたのだと思いますが、
コンポジットレジン(CR)という樹脂製の材料を使用されているようです。
この材料は、むし歯治療で使用されている材料なのですが、
時間経過とともにどうしても吸水して色が変わってしまうのです。
それが気になるのであれば、
ホワイトニングをしても、自分の歯ではないので白くなりません。

それではどうしたらいいのか。
そこだけ詰め物をやり直すしかないのです。
ただし、
自分の歯をまた大きく削るわけではないのでご安心ください。
古くなった詰め物を削りとった後で、
接着面の歯質を一層削って、
再度コンポジットレジンで詰め直すのです。

それでは実際の治療を見てみましょう。

真正面だけでなく、

横から見たり、

噛む面から見たりと、この詰め物の状態をよく確認します。
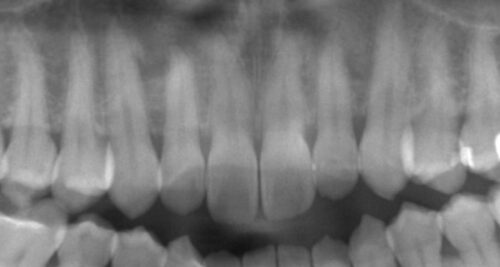
また、

レントゲンでも詰め物の奥で再びむし歯になっていないか等、
色以外にほかに問題点がないか検査が必要です。
今回はとくに問題ありませんでした。
ただ、古くなった詰め物は、
歯との接着面も劣化している可能性があるため、
一度除去して詰め直すことはむし歯対策として有効です。

患者さんは全体的に歯を白くしたいというご希望があるので、
まずはホワイトニングをします。

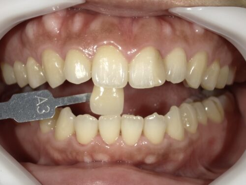
ドイツのVITA社のシェードガイドという色見本を用いて、この患者さんの歯の色を確認します。
A3という日本人の標準的な色合いであることがわかりました。


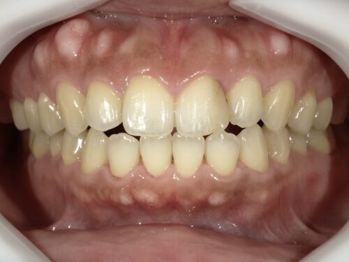
こちらがホワイトニング後の写真です。
A1という色と同じくらい歯が白くなりました。
するとどうでしょう。
古くなった詰め物の色が最初よりも、より際立ってしまっているのがわかります。
見比べてみましょう。

ホワイトニング前

ホワイトニング後
どうでしょうか。
より詰め物が茶色く見えてイヤですよね。
ただし、このような場合、まずはホワイトニングを先にするのです。
その理由は、
ホワイトニングをしてどれくらい白くなるかはやってみないとわからないからです。
コンポジットレジンはさまざまな色が用意できるので、
好みの色に詰めることができるのですが、
ホワイトニングは各患者さんの歯の質によって、
白くなる結果に差が出てくるのです。
なので、
先にとても白いコンポジットレジンにしたけど、
ホワイトニングをした自分の歯はそこまで白くならなかった、
なんてことになると大変ですよね。
そうならないように、
先にホワイトニングを進めていくことが多いのです。

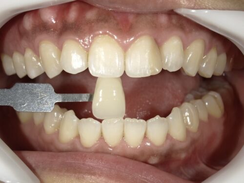
あとは、この前歯の端っこの古くなったコンポジットレジンを、

削りとって、

新しい白いコンポジットレジンで詰め直します。
どうでしょうか。
それぞれの段階で見比べてみましょう。

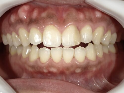
治療前

ホワイトニング後

コンポジットレジン後
詰め物を新しくした後は全体が白くなって、かつ、前歯のところも違和感がないですよね。
今回のように、
「全体を白くしたいし、気になる詰め物もやり直したい」
というお悩みをお持ちの患者さんはじつは結構いらっしゃいます。
気になっている方はぜひ一度ご相談ください。
| 治療期間 | 1ヶ月 |
|---|---|
| 治療費 | ¥33,000(税込) |
| 治療のリスク | 時間が経つと色が後戻りする可能性がある |











