上下奥歯のインプラント
奥歯の治療相談で来院されました。
右側上下の奥歯を抜歯してからそのままにしていたため、治療を進めたいとの事です。
左側上下の奥歯は昔インプラントをし、右側もインプラントを考えたが抜歯した医院では骨が少ないからインプラントは難しいかもと言われ、間が空いてしまったそうです。
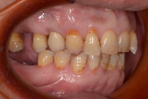
初診時の写真です。


いつも左で食べているせいか肩こりや首の痛みもひどいとの事です。
直接的に影響していない場合もありますが、片方でばかり噛んでいれば左右の使用する筋肉のバランスにも影響してくるため、顔周囲の筋肉に支障をきたす場合があります。
右側でも食事できるよう、インプラントまたは難しい場合は入れ歯での噛み合わせの再構成を計画していきました。
アズ歯科桶川院で使用してしているCTです。


立体的に骨の厚みを確認計測でき、周囲の神経や組織との位置関係の確認もできるため、インプラントなどの外科治療、歯周病治療、根管治療など様々な治療になくてはならない装置です。
治療計画後、当院で対応できる骨量を認めたため、インプラント治療を進めていきました。
治療後の写真です。


治療前後で比較します。






左右でバランス良く噛むことができるようになったと大変喜んでいただけました。
今回はインプラントで治療しましたが、実際に骨が少なくインプラントによるリスクが高い場合は入れ歯やブリッジで対応することもあります。
インプラントに限らず、患者数様それぞれに適した治療方法があります。
お気軽にご相談ください。
| 治療期間 | 5ヶ月 |
|---|---|
| 治療費 | ¥1,100,000+ tax |
| 治療のリスク | インプラントが歯周病になる可能性がある |











