マウスピース矯正 インビザラインGO
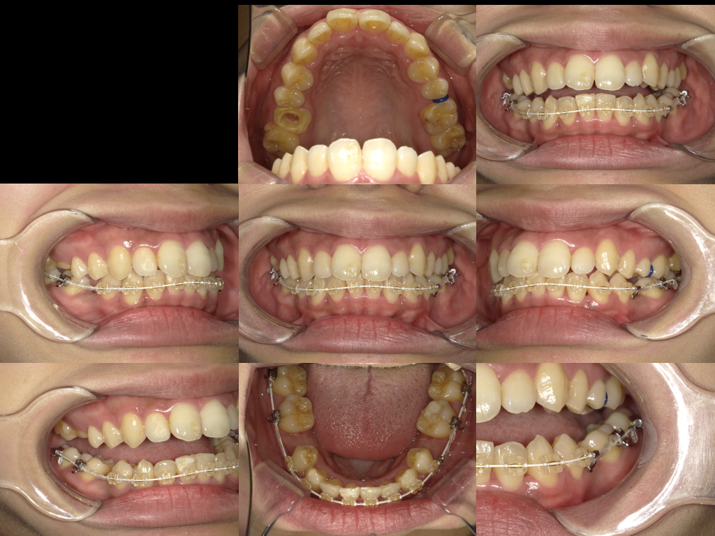
マウスピース矯正のインビザラインGOで矯正治療を行った患者様です。 以前から歯並びは気になっていたが、ワイヤー矯正に抵抗を感じていたとの事です。 また、全体の矯正治療だと金額が高くなってしまうため、治療をためらっていたそうです。 当院でマウスピース矯正を行った患者様から話を聞き、一度相談で来院されました。 奥歯の噛み合わせに問題はなく、前歯の矯正のみで改善可能なこと、期間、金額を説明し同意いただきました。 治療前後の写真です。 治療期間は5ヶ月、その後歯の後戻りを防ぐマウスピースを使用してもらい経過観察となりました。 ワイヤー矯正に比べ、ケースは限られますが、治療中のストレスが少なく済む場合が多くあります。 ぜひ、アズ歯科桶川院にお気軽にご相談ください。 治療期間 5ヶ月 治療費 ¥400,000 + tax 治療のリスク 後戻りしてしまう可能性がある
2021.08.06










