歯医者でクリーニングするとどう違うの?
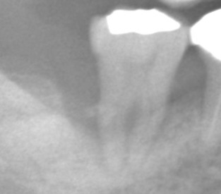
自宅で歯みがきするのと、 歯医者でクリーニングするのと、 何が違うと思いますか? 使ってる器具が専門的なもの? 特別な歯みがき粉を使ってる? いろいろ違いはありますが、 大事なポイントとして2点あげると、 ① どこに汚れがついているのか確認すること ② それをしっかり取りきること ここが違います。 お子さんの仕上げ磨きをされたことがある方はわかると思うのですが、 本人が磨いているつもりのところも、 横にしてライト当てて見たら全然磨けてないじゃん、 ということがよくあります。 大人にも同じことが言えます。 自分で磨いているつもりが習慣によってあまり磨けていないところがあるのです。 歯科医院ではその部分をより専門的に検査して確認することで、 まず磨かなければいけないところを抽出します。 50代の男性の患者さんです、クリーニング希望で来院されました。 歯みがき時の出血が心配とのことです。 上の奥歯に歯石がついているのがわかります。 ご自宅でもここまで見えたら磨けると思うのですが、難しいですよね。 まずはこの部分を患者さんに実際に見て確認してもらうことが大事です。 見ることで、普段の歯みがきの時に注意することができるようになります。 そのためにこのような写真をモニターに映して見てもらっています。 また、歯石の付着位置、歯周病の進行を確認するために、 レントゲン写真を撮って検査します。 矢印の部分に歯石が付いていることがわかります。 歯石が歯ぐきの周りに付いていると歯周病が進行して、 やがてグラグラして歯が抜けてしまいます。 そうならないためにも、 クリーニング(歯石を除去)することで、 歯周病の進行を阻止しなければなりません。 歯科医院の定期検診で行っていることは、この繰り返しなのです。 歯石の付着がわかったら、 それを取り残しのないようにしっかりクリーニングしていきます。 見えづらい部分なんかはマイクロスコープを使って細かく確認する必要があります。 歯石がしっかり取れていることを確認することもとても大切なポイントです。 超音波を使用した専用の器具や、先の細い器具を用いて歯と歯の間までキレイにします。 クリーニング後の検診時の写真です。 歯石が取れて、ご自宅でのセルフケアが上手にできると、 歯ぐきからの出血も改善してきます。 クリーニング後のレントゲン写真です。 歯石の付着がなく、歯槽骨(歯を支えている周りの骨)の吸収がおさまっていることを確認します。 いかがでしたか? ご自宅で毎日しっかり歯みがきしているから大丈夫、 と思っていても、 隠れた歯石が付いているかもしれません。 そのまま気づかないでいると、歯周病が進行してしまいます。 定期的に歯科医院を受診し、専門的な検査、施術を受けることで、 歯周病を確実に予防していきましょう。 桶川市で歯科医院をお探しの方は、ぜひ一度アズ歯科桶川院へお越しください。 治療期間 1ヶ月 治療費 保険診療 治療のリスク 定期的にチェックする必要がある
2023.06.24










