歯根端切除術(外科的歯内療法)
根尖性歯周炎という病気はご存知でしょうか。
歯周炎の中でも、根の先から拡がるタイプなので、
通常の歯周炎の治療では治せません。
いわゆる根の治療、神経の治療といわれる治療(根管治療)が必要です。
しかし、
根管治療だけでは治らない場合があるのです。
そんな時に必要な治療が、
歯根端切除術(しこんたんせつじょじゅつ)
もしくは、
外科的歯内療法(げかてきしないりょうほう)
と呼ばれる治療です。

以前、根管治療後に差し歯にした歯が、
また腫れてきて痛いというお悩みの患者さんです。
根元の歯ぐきが赤く腫れているのがわかります。

レントゲン写真です。
根元の骨が炎症により溶けてしまっています。
実は、以前に歯根端切除術を受けたことがあるということで、
根の先端を削った跡が見えます。
今回は、その部分に病気が再発していることがわかりました。

まずは、通常の根管治療を始めます。
差し歯を外して、根管内をキレイにします。

新しい土台を作って、歯の内部の治療は終了です。

根の先端が以前の治療で壊れてしまっているので、
新しい詰め物をピッタリ詰めることができません。

仮歯をつけたところです。
まだ根元の歯ぐきは赤く腫れており、歯周炎は治っていません。
元の根の形が維持されていない場合、
再治療の成功率は40%程度といわれています。
なぜ成功率が低いのかというと、
・根管の形が不規則である
・根の先端に枝分かれした根管がある
・以前の治療で根管の形がわるくなってしまっている
などの理由があります。
もし再治療をしても腫れが治らなければ、
炎症は拡大してしまうため、
やむなく抜歯を勧められる場合もあるかもしれません。
しかし、
歯根端切除術をすることで、
歯を抜かずに治せる場合があるのです。
どんな治療なのでしょうか。

簡単に説明すると、
病巣内の根の先端を切り取る手術です。
この部分に病気が治らない原因があるから手術で取ってしまおうというものです。

実際はこんな感じです。
先ほどまで見ていた患者さんの手術の様子です。
根の先端をとり、そこに薬を詰めています。

病巣内のブヨブヨした感染組織も取り出します。

手術した直後のレントゲン写真です。
根の先端の骨がなくなっているので黒く見えます。

半年後のレントゲン写真です。
根の先端の黒い部分が少しぼやけてきました。
根尖性歯周炎が治ってきているのです。

CTで見た断面です。
治療前は根の周りに黒い病巣が見えますが、

治療後は骨が治ってきて、
すっかり良くなっているのがわかります。

手術後1年たった時のレントゲン写真です。
根の先の黒い病巣がなくなり、根尖性歯周炎が治癒しているのがわかります。

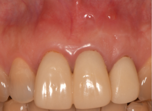
歯ぐきの赤み、腫れもすっかり治りました。
もちろん痛みもありません。
いかがでしたか?
本日は、通常の根管治療では治らない病気に対するアプローチ、
歯根端切除術(外科的歯内療法)についてのお話でした。
「根の治療をしても治らないと言われた」
「抜歯は避けたい、他に方法がないか気になっている」
「前に治療したところがまた腫れてきた」
気になる方はぜひ一度ご相談ください。
| 治療期間 | 8ヶ月 |
|---|---|
| 治療費 | 保険治療 |
| 治療のリスク | 再発する可能性がある、適応範囲が限られる |











